Page d'accueil de Clinique vétérinaire du Vernet
  • Appelez-nous05 61 08 50 65

Orthopédie et arthroscopie

L’Orthopédie s’intéresse aux atteintes osseuses, musculaires, tendineuses et articulaires.

Les consultations d’Orthopédie et de Traumatologie sont assurées par le Dr. Guénégo et le Dr. Marc. Tous les vétérinaires peuvent également vous recevoir en cas d’urgence pour la consultation initiale et les services d’imagerie et de médecine interne s si votre animal présente de multiples affections.

Les motifs de consultation de votre animal peuvent-être

  • une boiterie, des difficultés à courir, sauter, à poser sa patte normalement…
  • des lésions suite à un traumatisme : entorse, fracture osseuse, luxation…
  • en préventif chez votre chiot en croissance : pour vérifier s’il risque d’être atteint de dysplasie de hanche ou de coude.
  • une anomalie de la démarche pendant sa croissance : il est important de ne pas tarder à diagnostiquer une malformation articulaire ou une fragmentation de cartilage. Plus le traitement est précoce et meilleure sera la vie de votre animal.
  • de l’arthrose douloureuse

L’examen complet de votre animal et les premiers examens durent de 30 minutes à une heure. Son système locomoteur est évalué en statique, en mouvement, articulation par articulation, ses masses musculaires sont évaluées, ses réflexes neurologiques sont testés. La démarche diagnostique, les examens complémentaires et les traitements (curatif ou préventif, chirurgical ou médical) sont abordés successivement avec vous.
Vous êtes placés au centre de la démarche de soins. Toutes les explications vous sont données afin que vous preniez la meilleure décision possible pour votre animal.

Rupture de ligament croisé crânial chez un chien de grande race - Clinique du Vernet

Rupture de ligament croisé crânial chez un chien de grande race : la chirurgie adaptée est l’abaissement du plateau tibial qui stabilise le genou lors du mouvement (CTWO – Cranial Tibial Wedge Ostetomy).

Les examens réalisés par l’équipe médico-chirurgicale

  • La radiographie numérique : clichés de haute précision essentiels à la base des prises en charge.
  • L’échographie : explore les tissus mous associés aux os cas de suspicion de lésions des muscles, des tendons, des ligaments ou des ménisques.
  • Le scanner de haute résolution : explore tout l’organisme en 3 dimensions : tissus osseux et tissus mous dans leur globalité.
  • L’arthroscopie : explore les articulations par des trous d’à peine 5mm qui cicatrisent en quelques jours. Elle permet également le traitement articulaire.
  1. Arthroscopie de l'épaule - Ostéochondrite dissécante chez un Beauceron de 7 mois.

  2. Arthroscopie de l'épaule - Ostéochondrite dissécante chez un Beauceron de 7 mois, post-traitement.

Arthroscopie de l’épaule d’un Beauceron de 7 mois : anomalie de croissance provoquant un détachement du cartilage à la surface de la tête de l’humérus. Le cartilage et les débris osseux anormaux ont été retirés sous contrôle vidéo par un petit trou de 5 mm. L’animal peut remarcher normalement dès son réveil (Dysplasie de l’épaule : Ostéochondrite Dissécante).

Traitements en Orthopédie

Une fois le diagnostic établi, la stabilisation de votre animal et son traitement chirurgical et médical pourront être faits par :

L’arthroscopie : sur les coudes, épaules et genoux. Elle permet de retirer les fragments de cartilage malades ou détachés et de nettoyer l’articulation avec 2 à 3 petits trous de quelques millimètres (ostéochondrose, ostéochondrite disséquante, fragmentation du processus coronoïde médial). Elle nécessite une haute technicité et une grande expérience. Elle est quotidiennement pratiquée par le Dr Guénégo depuis de nombreuses années.

 

La chirurgie :

  • Nos chirurgiens ont les compétences spécifiques pour corriger la dysplasie de la hanche (mono-ostéotomie du bassin), du coude (technique de la PAUL), les prothèses ligamentaires et notamment les ruptures de ligament croisé crânial chez les chiens de très grand format …
  • Le Dr Guénégo réalise la pose de prothèse totale de hanche avec un matériel spécifique de dernière génération,
  • les fractures simples et complexes sont stabilisées en alignant les fragments osseux le temps de leur consolidation (ostéosynthèse). Le plus souvent des plaques avec vis verrouillées sont utilisées mais aussi broches, cerclages et fixateurs externes en acier inoxydable comme ceux utilisés en chirurgie humaine.

Le traitement conservateur ou multimodal : quand la chirurgie n’est pas envisageable, en complément de celle ci, quand le patient est arthrosique ou âgé :

  • Dénervation de la hanche : ouverture minime chez un animal très arthrosique et douloureux souffrant de dysplasie des hanches. Les ramifications nerveuses sont décollées de la capsule articulaire sans ouvrir l’articulation des hanches, soulageant rapidement l’animal qui peut sortir le jour même ou le lendemain de l’intervention. Il est alors plus confortable au long cours, peut refaire de l’exercice et se remuscler.
  • Technique Goldtreat® (agrément spécifique)  : pose de micro-particules d’or à visée anti-inflammatoire dans la gestion de l’arthrose chronique (filaments d’or microscopiques ou nanoparticules selon le besoin spécifique de votre animal). La diffusion d’or localement pendant le reste de la vie de l’animal permet de diminuer l’inflammation et la douleur au long cours. Cette technique est souvent associée à la dénervation de la hanche et peut-être adaptée à plusieurs pathologies arthrosiques (coudes, genoux…).
  • Plasma enrichi en plaquettes (PRP) : injections d’un concentré des plaquettes de votre animal. elles favorisent la régénération tissulaire.

Correction de la Dysplasie des hanches chez le chien en croissance : Double ostéotomie du bassin

Chirurgie et suivi péri-opératoire

  • Un bilan sanguin pré-opératoire vous est toujours proposé.
  • L’anesthésie est toujours une anesthésie générale gazeuse. La surveillance est permanente avec ventilation assistée, monitoring cardiaque et respiratoire, tapis chauffant.
  • Votre animal est suivi par l’équipe médico-chirurgicale pour toute la prise en charge (anesthésie, chirurgie orthopédique, réveil et surveillance post-opératoire).
  • L’hospitalisation à la clinique du Vernet comporte des box adaptés aux chiens de très grand format. Selon les interventions, elle peut durer 24h à plusieurs jours.
  • Des consignes spécifiques vous sont données à la sortie de votre compagnon : le port de la collerette est souvent nécessaire et le REPOS TOTAL est IMPÉRATIF pour une récupération optimale. Bien que le travail du chirurgien soit important, la guérison de votre animal dépend essentiellement de VOUS et du respect des consignes strictes que vous appliquez en post-opératoire.
  • Les visites de contrôle sont programmées chez votre vétérinaire traitant ou à la clinique du Vernet de manière adaptée à chaque patient.

Arthroscopie du coude d’un Bouvier Bernois de 8 mois - Clinique du VernetArthroscopie du coude d’un Bouvier Bernois de 8 mois - Clinique du Vernet

Arthroscopie du coude d’un Bouvier Bernois de 8 mois : anomalie de croissance à l’origine d’une fracture de l’os et du cartilage en surface des os du coude (Dysplasie du Coude : Fragmentation du Processus Coronoïde Médial)..

Malformation des hanches chez un chiot  - Clinique du Vernet Prothèse totale de hanche - Clinique du Vernet

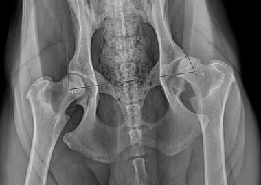
Fig 1: Malformation des hanches chez un chiot de grande race de 6 mois par la Méthode PennHIP. Sur la radiographie les têtes fémorales sortent totalement de l’articulation (Dysplasie des hanches).
Fig 2: Prothèse totale de hanche haut de gamme, non cimentée, vissée, de 6ième génération mis en place par le Dr Guénégo lors de malformation sévère chez le jeune, d’arthrose ou luxation/fracture chez l’adulte ou le vieux chien

Recommandations à la consultation en Orthopédie et arthroscopie

  1. À l’exception de certaines situations particulières (animal diabétique, très jeune animal…), il est préférable d’amener votre animal à jeun de 12h en vue de la réalisation des examens complémentaires nécessaires. L’eau peut être laissée à libre disposition.
  2. Porter tous les documents en votre possession : historique, analyses déjà réalisées, ordonnances délivrées afin de faciliter la consultation et ne pas avoir à répéter des examens déjà pratiqués récemment.
  3. Préciser lors de la prise de rendez-vous les examens souhaités par votre vétérinaire traitant (échographie, scanner, autre…), afin de vous les réserver pour le jour de votre visite.
  4. Si votre animal possède une mutuelle santé : apportez à la consultation initiale les documents de prise en charge des frais déjà pré-remplis au maximum.

Traitement de la dysplasie des hanches - Clinique veterinaire du Vernet Traitement de la dysplasie des hanches - Clinique veterinaire de la Vernet

Fig 1 & 2 : Correction chirurgicale de la malformation des hanches chez un chiot de grande race. Les têtes fémorales rentrent mieux au fond des articulations après rotation osseuse (Double Ostéotomie du Bassin – Traitement de la dysplasie des hanches)

Chirurugie orthopedique - Clinique veterinaire du Vernet Operation du talon d'achille chez un chien - Clinique veterinaire du Vernet

Fig 1 & 2: Rupture totale du Tendon d’Achille chez un chien : impossible de contracter « le mollet ». Après reconstruction, des fixateurs externes maintiennent la patte arrière en position physiologique pendant les 2 mois de cicatrisation nécessaires.

Traitement local de la douleur arthrosique par implantation péri-articulaire de micro-pelotes de fils d’or : Une alternative aux traitements classiques : La technique GOLDTreat®

Gold treat logo

Traitement de la douleur arthrosique, vidéo explicative

L’arthrose est un processus dégénératif, irréversible qui se développe au sein de l’articulation.
Elle entraîne de la douleur et des perturbations fonctionnelles invalidantes.
Cette affection progresse généralement avec l’âge de l’animal.

Pour en savoir plus, nous vous invitons à lire notre article sur  le traitement local de la douleur arthrosique par la méthode Goldtreat

 

Nos fiches info santé et conseils qui pourraient vous intéresser :

Retour aux services

Informations pratiques

Clinique vétérinaire du Vernet

Retour
  • Lun
    8h15 - 19h15
  • Mar
    8h15 - 19h15
  • Merc
    8h15 - 19h15
  • Jeu
    8h15 - 19h15
  • Vend
    8h15 - 19h15
  • Sam
    8h30 - 17h30
  • Dim
    8h - 18h, sur appel téléphonique

En cas d'urgence

Veuillez appeler :

05 61 08 50 65
Retour

Adresse de la clinique

366 avenue de Labarthe 31810 Vernet
retrouvez-nous sur Google Maps
Retour

Veuillez appeler ce numéro en cas d'urgence :

05 61 08 50 65